Câu Chuyện Thương Hiệu Nay Dental
Nha khoa Nay được thành lập từ tâm huyết của Bs Ck1: Nay Anh Tuân – người đã dành trọn thanh xuân cho nghề và luôn khát khao:
👉 “Làm bằng cái tâm, không chỉ bằng kỹ thuật.”
Từ những ngày đầu, Bác Nay Tuân vừa điều trị, vừa học hỏi, vừa lắng nghe từng phản hồi của bệnh nhân… đến hôm nay, chính sự tận tụy ấy đã viết nên hành trình của một thương hiệu đáng tin cậy.
Mỗi nụ cười phục hình thành công, mỗi lời cảm ơn từ khách hàng chính là viên gạch xây nên Nha khoa Nay vững chắc.
“Không mơ làm lớn, chỉ mong làm đúng và có ích. Cái tên ‘Nay’ đơn giản là sống hết mình cho hiện tại, cho từng ca điều trị.”
🤎 Nha khoa Nay – Khởi nguồn từ một trái tim làm nghề chân chính.
Dịch Vụ Nha Khoa Chuyên Sâu
Nay Dental có đầy đủ các chuyên khoa, với mỗi khoa là đội ngũ bác sĩ chuyên sâu trong từng lĩnh vực để đem đến kết quả tối ưu cho khách hàng.
Cấy ghép Implant
Giải pháp tiên tiến cho người mất răng
Đội ngũ bác sĩ cấy ghép Implant hơn 10 năm kinh nghiệm, tu học chuyên sâu tại nước ngoài. Kết hợp với ứng dụng kỹ thuật số hiện đại đem đến hành trình trồng răng nhẹ nhàng, nhanh chóng và kết quả chính xác, bền vững.
Tìm hiểu thêm
Niềng răng
Lấy lại nụ cười thẳng đều, chuẩn khớp cắn
Thực hiện bởi bác sĩ giàu kinh nghiệm thực chiến niềng răng mắc cài và niềng răng trong suốt, theo dõi sát sao suốt quá trình điều trị để đảm bảo răng dịch chuyển đúng kế hoạch và có kết quả khỏe đẹp, bền vững.
Tìm hiểu thêm
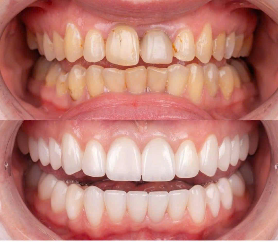
Răng sứ thẫm mỹ
Khắc phục khiếm khuyết của răng và nướu
Bao gồm các dịch vụ dán sứ veneer, bọc răng sứ, chữa cười hở lợi, tẩy trắng răng,… mang lại kết quả sau cùng không chỉ hướng đến thẩm mỹ nụ cười, mà còn đảm bảo sức khỏe răng miệng lâu dài cho khách hàng.
Tìm hiểu thêm
Nha khoa tổng quát
Chẩn đoán và điều trị kịp thời bệnh lý răng miệng
Giải quyết triệt để các bệnh về răng miệng với phương châm “xâm lấn tối thiểu – bảo tồn răng thật tối đa”. Sau mỗi điều trị, bác sĩ còn đưa ra lời khuyên để khách hàng chăm sóc sức khỏe răng miệng đúng cách.
Tìm hiểu thêm
Nha khoa trẻ em
Chăm sóc và điều trị vấn đề răng miệng ở trẻ
Đa dạng dịch vụ điều trị từ trám răng sâu, nhổ răng đến chỉnh nha cho trẻ từ 6 tuổi. Bác sĩ thấu hiểu tâm lý trẻ em, giao tiếp nhẹ nhàng và đầu tư khu vui chơi chuyên biệt để trẻ thoải mái mỗi khi thăm khám.
Tìm hiểu thêm
Bọc sứ
Giải pháp phục hình thẩm mỹ cho răng hư, xỉn màu, sứt mẻ
Dịch vụ bọc răng sứ được thực hiện bởi đội ngũ bác sĩ giàu kinh nghiệm cùng công nghệ thiết kế nụ cười hiện đại, giúp khôi phục hình dáng và màu sắc răng tự nhiên, mang lại nụ cười đều đẹp, bền chắc và tự tin hơn.
Tìm hiểu thêm
Tẩy trắng
Giải pháp làm sáng răng an toàn, hiệu quả nhanh chóng
Dịch vụ tẩy trắng răng được thực hiện với công nghệ hiện đại và quy trình chuẩn y khoa, giúp loại bỏ vết ố vàng, xỉn màu, mang lại hàm răng trắng sáng tự nhiên chỉ sau một liệu trình, an toàn cho men răng và nướu.
Tìm hiểu thêm
Phục hình implant
Giải pháp phục hình răng mất toàn diện, bền vững theo thời gian
Dịch vụ cấy ghép Implant được thực hiện bởi bác sĩ chuyên môn cao cùng công nghệ tiên tiến, giúp khôi phục răng mất với trụ Implant vững chắc, mang lại chức năng ăn nhai và thẩm mỹ tự nhiên như răng thật.
Tìm hiểu thêm
Ngôi Nhà Của Chuyên Gia
Nay Dental tự hào là nơi hội tụ kinh nghiệm của Bác sĩ Nay Tuân qua đào tạo nha khoa trình độ chuyên môn quốc tế. Không chỉ điều trị tốt nhất cho khách hàng, bác sĩ Nay Tuân còn liên tục trau dồi kiến thức và thường xuyên tổ chức các buổi hội thảo, chia sẻ kiến thức nha khoa trong ngành
Bác sĩ
Nay Anh Tuân
Đồng Hành Cùng Khách Hàng
Nâng cấp nụ cười, nâng tầm cuộc sống
Dịch Vụ Nha Khoa Nay Dental
Đã Đạt Những Gì?
Nha khoa Nay Dental vinh dự nhận được nhiều các bằng cấp, chứng chỉ danh giá.
Với năng lực chuyên môn vững vàng,
Nay Dental tự tin đồng hành cùng bạn
trên hành trình chăm sóc sức khỏe
răng miệng hiệu quả – an toàn
Kiến Thức Nha Khoa
Hàm duy trì sau chỉnh nha đeo bao lâu?
Lorem ipsum dolor sit amet, consectetur adipiscing elit. Mauris vestibulum velit quis risus congue facilisis. Fusce varius neque [...]
Xem thêmTrồng răng Implant bị tiêu xương – Nguyên nhân, dấu hiệu và cách khắc phục
Lorem ipsum dolor sit amet, consectetur adipiscing elit. Mauris vestibulum velit quis risus congue facilisis. Fusce varius neque [...]
Xem thêmTẩy trắng răng an toàn: Phương pháp, chi phí và lưu ý cần biết
Lorem ipsum dolor sit amet, consectetur adipiscing elit. Nunc quis lectus posuere, tincidunt nibh ac, congue turpis. Proin [...]
Xem thêmTin tức
Hàm duy trì sau chỉnh nha đeo bao lâu?
Lorem ipsum dolor sit amet, consectetur adipiscing elit. Mauris vestibulum velit quis risus congue facilisis. Fusce varius neque [...]
Xem thêmHàm duy trì sau chỉnh nha đeo bao lâu?
Lorem ipsum dolor sit amet, consectetur adipiscing elit. Mauris [...]
Xem thêmTrồng răng Implant bị tiêu xương – Nguyên nhân, dấu hiệu và cách khắc phục
Lorem ipsum dolor sit amet, consectetur adipiscing elit. Mauris [...]
Xem thêmTẩy trắng răng an toàn: Phương pháp, chi phí và lưu ý cần biết
Lorem ipsum dolor sit amet, consectetur adipiscing elit. Nunc [...]
Xem thêm